top of page
Call Us
Text Us
Request Appointment
Home
Meet Dr. LeBlanc
Our Services
Patient Forms
Before & After Photos
Contact Us
Blog
More
Use tab to navigate through the menu items.
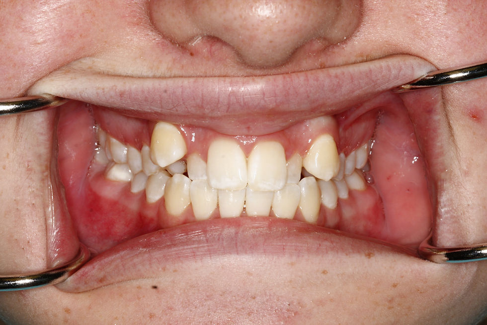
Before and After
See below the difference Michael J. LeBlanc's Dentistry has made in peoples' lives.
press to zoom
press to zoom
press to zoom
press to zoom
press to zoom
press to zoom
1/1
bottom of page